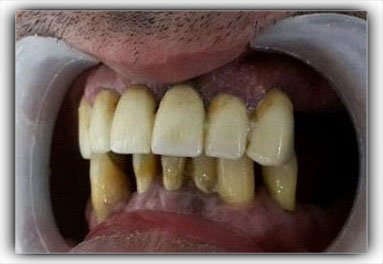
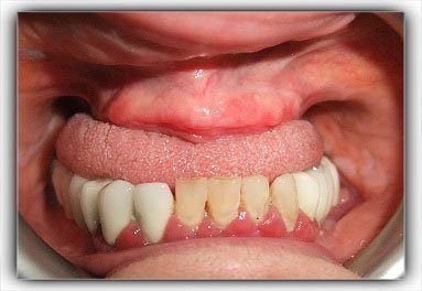
Yapılan protez türü - Sabit

Yapılan protez, diğer tedavilerdeki gibi takıp-çıkarılan ve geçici süreli degil, kendi dişleriniz gibi sabit ve en son kalıcı protezdir.
Tedavi Süresi ve seansı

Ameliyat dahil 3 gün ve sadece 3 seansta, kalici ve sabit dişleriniz ile evinize dönebilirsiniz.
Kemik seviyesi ve Kemik tozu

Bu tarz pahalı ameliyatlara gerek yoktur.Yetersiz kemik seviyesinde dahi, rahatça, ekstra bir işlem gerektirmeden uygulanabilir.
Diş Sayısı

Yapılan sabit protezinizde 12-14 arası diş bulunmaktadir.
Sinüs yükseltme ameliyatı

Bu tarz pahalı ameliyatlara gerek yoktur.Her kemik seviyesinde, rahatça, ekstra bir işlem gerektirmeden uygulanabilir.
Enfeksiyon - Periimplantitis

3gündediş implantları özel dış yüzeyi sayesinde böyle bir risk barındırmaz, vücudun reddetmesi diye birsey yoktur ve bunun sonucunda implant kaybı olmaz.



















